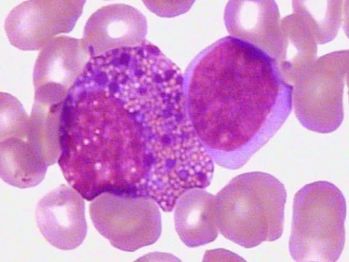
Leucemia Mieloide Crónica
- Proliferación medular predominantemente de la serie granulopoyética de curso inicialmente crónico
- Leucocitosis constante en sangre periférica con disgranulopoyesis que oscila entre 20 y 200 x 109 /l con un aumento absoluto de los granulocitos maduros y la existencia de granulocitos inmaduros en todos sus estadíos madurativos con predominio de mielocitos y metamielocitos y escaso número de promielocitos y mieloblastos.
- La basofilia puede ser importante, existiendo relación entre el incremento de los basófilos y la crisis blástica terminal.
Leucemia Linfoide Crónica
- Proliferación y acumulación de linfocitos inmunocompetentes de pequeño tamaño y aspecto maduro en sangre, médula ósea y tejidos linfoides
- Leucocitosis generalmente entre 20 y 150 x 109 /l con una linfocitosis superior al 70%, citomorfológicamente normales, pero con gran fragilidad
- La médula ósea está invariablemente infiltrada con uno de estos 4 patrones: intersticial (33%), nodular (10%), mixto (25%) y difuso (25%) que es el de peor pronóstico
- Los ganglios linfáticos presentan generalmente un infiltrado difuso de linfocitos pequeños idéntico al del Linfoma linfocítico bien diferenciado
Leucemia de Células Pilosas
- Células con proyecciones citoplasmáticas que les confiere un aspecto peludo
- Citoplasma grisáceo
- Núcleo reniforme u ovalado con cromatina finamente granular






























